« La tuberculoplastie sélective au laser dans le traitement du glaucome primitif à angle ouvert : expérience de la clinique ophtalmologique la lumière à Cotonou ». C’est le thème défendu par la Dr Bona Darou Ousmane, lors de la soutenance de son mémoire de Diplôme d’Etudes Spécialisées (Des) en Ophtalmologie à la Faculté des Sciences de la Santé (Fss) de Cotonou. C’était le vend...
Les cas de contamination de la Covid-19 évoluent progressivement au Bénin. Ainsi, à la date du 1er mars 2021, le pays compte 1 033 cas actifs pour un total 6 071 cas confirmés dont 4 963 guéris et 75 décès. A cet effet, le gouvernement recommande de respecter les gestes barrières notamment, le port de masque obligatoire, la distance sanitaire d’un mètre minimum à respecter entre perso...
La commune de Natitingou à l’instar des autres communes du Bénin, connait une croissance ascendante des cas de contamination de la pandémie de la Covid-19. Selon les nouvelles statistiques publiées par le gouvernement, le pays compte désormais 70 cas de décès et 1116 sous traitement. Ainsi, pour lutter contre ce virus, le conseil communal a mis à la disposition des formations sanitair...
Le sucre est une substance riche en glucides, qui entre dans la fabrication de produits d’origines diverses. Il est aussi utilisé pour consommer certains aliments comme la bouillie. Cependant, l’excès dans la consommation du sucre est souvent source de plusieurs maladies dangereuses. Il est donc nécessaire selon les spécialistes, de connaître la quantité et le type de sucre à co...
La pandémie de la Covid-19, continue de faire des victimes au Bénin. En effet, selon les chiffres publiés ce lundi 15 février 2021, sur le site du gouvernement béninois, le Bénin compte à la date du 14 février 2021, 83 nouveaux cas confirmés pour un total de 5039 cas et 62 décès. Ce qui confirme donc 6 nouveaux décès au Bénin depuis le 9 février 2021, date du dernier point de presse du mini...
L’enceinte du Centre de Diagnostic Médical (Cdm) Sancta Maria de Parakou a servi de cadre, le jeudi 11 février 2021, a une messe entrant dans le cadre de la 29e édition de la Journée Mondiale des Malades (Jmm). Elle a été célébrée par le père Ernest Déguénonvo, vicaire général et coordonnateur des services de santé de l’archidiocèse de Parakou en présence de dix autres prêtres,...
Le Centre de Diagnostic Médical (Cdm) Sancta Maria célèbre son jubilé de cristal. 15 ans déjà, depuis 2006, que le centre est au service de la population béninoise en général et celle de Parakou en particulier. Ainsi, en ce jour 11 février 2021 où la communauté internationale célèbre la 29ème édition de la Journée Mondiale des Malades, une messe a été dite ce matin à l’intérieur du centre. Il a é...
La pandémie de la Covid-19 qui sévit dans le monde, continue d’enregistrer de nombreuses victimes au Bénin à l’instar des autres pays du contient Noir. En effet, une autorité communale du département du Couffo est testée positive du coronavirus et mis systématiquement en quarantaine. Selon la source du journal « Le Potentiel », le maire du parti Union Progressiste (Up) sentait d...
Le maire de la commune de Kouandé Didier Kouandé-Sounon, a procédé à la remise de matériels médicaux et à la mise en service du Centre de Santé (Cs) de Yakabissi, un village de l’arrondissement de Birni. C’était au cours d’une cérémonie fort simple qui a eu lieu le mercredi 3 février 2021, en présence du médecin coordonnateur de la zone sanitaire Kouandé-Kérou-Péhunco, de...
La pandémie de la Covid-19 continue de se propager dans le monde entier avec plus de 90 millions de cas confirmés dans 190 pays et deux millions de décès à la mi-janvier 2021. Selon le rapport de Lowy Institute rendu public la semaine écoulée et publié sur le site internet de l’Agence Ecofin, le Rwanda est le sixième meilleur pays au monde et le 1er africain dans la gestion de la covi...
Les patients du Centre Hospitalier Universitaire Départemental du Borgou et de l’Alibori (Chud B/A) sont dépassés par la situation qui se déroule au niveau des caisses du centre. Pour un hôpital qui dessert 14 communes, il n’y a que deux caisses pour servir les patients. En plus de la lenteur décriée par les patients, ils pensent que le nombre de caisses est insuffisant. Un tour pour c...
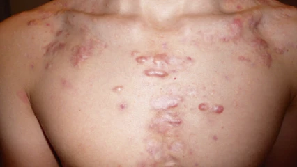
Très souvent présentes sur la peau, les chéloïdes sont des tumeurs qui surviennent après la cicatrisation d’une plaie. Elles apparaissent sur différentes parties du corps humain, la tête, le cou, les bras et dépendent généralement de l’organisme qui les reçoit. Les chéloïdes, lorsqu’elles s’hypertrophient peuvent provoquer d’autres complications selon les spéci...